《原发性肝癌规范化诊治专家共识》(五)
6 原发性肝癌的消融治疗
概述
消融治疗是指在影像技术引导下进行的局部直接杀灭肿瘤的一类治疗手段,目前以射频和微波消融及无水酒精注射最为常见。消融可经皮肤入路,也可在腹腔镜手术或开腹手术中应用。影像引导手段主要包括超声和CT。在超声引导下经皮消融的方法,具有微创、安全、简便、易于反复施行、成本费用相对低廉等显著优点,对于有肝硬化背景和高度复发倾向的原发性肝癌(PLC,以下简称肝癌)患者来说,临床依从性较高,在我国已得到广泛的应用。目前在肿瘤消融技术的规范化应用方面已取得国际共识[参见《放射学》杂志(Radiology 2005, 235:728-739)]。
适应证和禁忌证
适应证 对于直径≤5 cm的单发肿瘤或最大直径≤3 cm的多发结节(3个以内),无血管、胆管侵犯或远处转移,肝功能Child-Pugh A或B级的早期肝癌患者,射频或微波消融是外科手术以外的最好选择。对于单发肿瘤直径≤3 cm的小肝癌多可获得根治性消融,酒精消融也可能达到同样的目的。对于无严重肝肾心脑等器官功能障碍、凝血功能正常或接近正常的肝癌,不愿接受手术治疗的小肝癌以及深部或中心型小肝癌,手术切除后复发或中晚期癌等各种原因不能手术切除的肝癌,肝脏转移性肿瘤化疗后、等待肝移植前控制肿瘤生长以及移植后复发转移等患者均可采取消融治疗。
由于局部治疗有一定的局限,按照现有的技术水平不推荐对>5 cm的病灶单纯施行消融治疗。肿瘤距肝门部肝总管、左右肝管的距离应至少为5 mm。对于多个病灶或更大的肿瘤,根据患者肝功能状况,采取治疗前肝动脉化疗栓塞(TACE或TAE)+射频联合治疗明显优于单纯的射频治疗。对位于肝表面、邻近心膈、胃肠管区域的肿瘤,可选择开腹或腹腔镜下治疗,也可以射频结合无水酒精注射。此外,射频术后进行TACE或其他治疗也有可能提高疗效。
禁忌证 ①位于肝脏脏面,其中1/3以上外裸的肿瘤;②肝功能Child-Pugh C级,TNM Ⅳ期或肿瘤呈浸润状;③肝脏显著萎缩,肿瘤过大,需消融范围达1/3肝脏体积者;④近期有食管(胃底)静脉曲张破裂出血;⑤弥漫性肝癌,合并门脉主干至二级分支癌栓或肝静脉癌栓;⑥主要脏器严重的功能衰竭;⑦活动性感染尤其是胆系炎症等;⑧不可纠正的凝血功能障碍及血象严重异常的血液病;⑨顽固性大量腹水;⑩意识障碍或恶液质。
基本技术要求
1. 强调应在影像技术引导下进行操作,以保证治疗的安全性、准确性和有效性。
2. 消融范围应力求包括0.5 cm的癌旁组织,以获得“安全边缘”,彻底杀灭肿瘤。对边界不清晰、形状不规则的浸润型癌或转移癌,在邻近肝组织及结构条件许可的情况下,建议扩大瘤周安全范围达1 cm或以上。
3. 评估局部疗效的规范方法是在消融后一个月左右,采用对比增强CT/磁共振成像(MRI)或
超声造影判定肿瘤是否被完全
消融(Complete response, CR)。获得CR的病灶表现为完全无血供(即表现为无增强)。若消融不完全,可即刻补充治疗。若经3次消融仍不能获得CR,应放弃消融疗法,改用其他治疗。
4. 治疗后应定期随访复查,以及时发现可能的局部复发病灶和肝内新病灶,利用经皮消融微创安全和简便易于反复施行的优点,有效地控制肿瘤进展。
[注:本共识由中国抗癌协会肝癌专业委员会(CSLC)、中国抗癌协会临床肿瘤学协作专业委员会(CSCO)和中华医学会肝病学分会肝癌学组共同制订,共识四见4月2日B4版。]
常见消融手段的选择和应用
射频消融(RFA) RFA是应用较为广泛的热消融手段。大量文献以及几项随机对照临床试验显示,与酒精消融相比,RFA对3~5 cm的肿瘤具有根治率高、所需治疗次数少和远期生存率高的显著优势。但射频消融存在导致针道转移、穿刺所致周围脏器损伤及诱发肝癌破裂等问题,此外也不适用于位于影像盲区的肝癌。
微波消融(MWA) MWA也是常用的热消融方法。随机及回顾性比较研究表明,MWA和RFA在局部疗效、并发症发生率以及远期生存方面都无显著差异。现在的MWA技术也能一次性灭活肿瘤。建立温度监控系统可以调控有效热场范围,保证凝固效果。对于血供丰富的肿瘤,应先凝固阻断肿瘤的主要滋养血管,再灭活肿瘤,这样可以提高疗效。
无水酒精注射(PEI) PEI适用于直径在3 cm以内的小肝癌及复发小肝癌的治疗。对于3 cm以上不适合手术的肝癌或复发灶,也可起到姑息治疗的作用。临床上有10%~25%的病灶部位贴近肝门、胆囊、胃肠道等组织脏器,射频或微波等热消融治疗可能造成损伤,因此对这些部位的肿瘤可采用酒精注射或与热消融并用,以防止并发症的发生。
高强度聚焦超声消融(high intensity focused ultrasound,HIFU) 与其他消融方法相比,HIFU是一种非侵入性的体外适形治疗肿瘤的新技术,疗效确切。存在的问题如下:HIFU聚焦区域小,常需反复多次进行;通过超声探测肿瘤存在盲区;治疗中存在照射通道被肋骨遮挡的问题,甚至需要切除肋骨,违背微创的初衷;由于肝脏受呼吸运动的影响, 使准确定位有一定的难度。目前认为,HIFU 还不能作为PLC的单独治疗模式,可以考虑在TACE后作为补充治疗,或作为姑息治疗手段。
消融治疗与外科手术治疗小肝癌的有关问题
目前, 对于5 cm以下的肝癌是首选外科治疗还是经皮消融治疗,学术界存在争议。
已有数项临床前瞻性随机对照和回顾性比较研究结果显示,局部消融(主要是射频和微波)治疗小肝癌可获得与手术切除相近的远期生存疗效。但是两者相比,外科手术切除的优势是经验丰富、普及率高和复发率低,而经皮局部消融并发症发生率低、恢复快、住院时间短。就治疗效果而言,有两项随机对照研究显示消融治疗和手术切除者的生存率没有明显差别,但在无瘤生存期(DFS)及复发率方面,手术更具优势。
在临床上,应该根据患者的肝功能和体质,肿瘤的大小、数目、位置,本单位技术力量以及患者的意愿等进行全面考虑,选择合适的初始治疗手段。一般认为,如果患者能耐受解剖性肝切除,应首选外科切除,因其可清除相应肝段或肝叶的微小转移灶,有效防止术后复发。大多数专家认为,外科治疗仍是小肝癌治疗的首选。对于同时满足局部手术治疗和消融治疗指征的≤5 cm的肝癌,在有条件时还是进行手术治疗,局部消融可作为手术切除之外的另一种治疗选择。对于肝脏深部或中央型≤3 cm的肝癌,可优先选择局部消融,以达到手术切除疗效,获得微创下的根治;对于3~5 cm 的肝癌,通过选择适宜的仪器针具、掌握合理的消融技术、积累一定的治疗经验等,可提高治疗效果。此外,肝移植也属于手术治疗范畴,目前还缺乏消融治疗与肝移植、解剖性肝切除术的比较数据。对于大肝癌(>5 cm)是否可以多位点或分次消融或开腹或腹腔镜下消融,目前缺乏可供参考的循证医学证据,因此不宜推荐。
射频消融与微波消融两者都是通过热效应使得肿瘤组织细胞坏死。微波消融导入的能量可能较大,消融的范围相对更广,不过两者之间无论是在局部疗效和并发症,还是生存率方面都无显著差异。消融治疗后应定期观察病灶坏死的情况,如有病灶残留应积极治疗,以提高消融的疗效。
链接
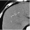
射频消融
RFA术前对比增强CT示2.0 cm×2.0 cm肝细胞癌
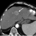
RFA术后30分钟对比增强CT动脉相示低衰减的卵圆形消融带(射频消融技术成功的标志)
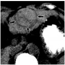
微波消融
WA术前对比增强CT示肝左叶4.3 cm×5.1 cm肝细胞癌
MWA术后1个月对比增强CT示5.7 cm×6.8 cm凝固灶
酒精消融
酒精消融术前对比增强CT示肝细胞癌
酒精消融术后对比增强CT示大部分肿瘤无明显增强,提示已阻断血供
下一篇:《原发性肝癌规范化诊治专家共识》(四)